隱形矯正
隱形矯正——悄悄改變微笑,自信從齒開始
貝麗牙醫讓您擺脫傳統矯正器的厚重與不適,以隱形矯正開啟全新的微笑旅程!
許多人對「鋼牙矯正」常有害羞、疼痛、外觀不佳等印象。
貝麗美學牙醫採用新式透明牙套技術,讓您在日常生活中「幾乎無感」完成整個矯正過程,微笑變美的同時,不影響工作與社交。
隱形矯正特色:
  • 量身打造一系列專屬透明牙套,配戴舒適、外觀自然。
  • 可自由取下,方便飲食與清潔,維持口腔健康。
  • 透過3D數位掃描與電腦模擬,可預先看到矯正後笑容樣貌。
  • 醫師與您共同討論理想成果,確保每一步都安心可控。
在貝麗,我們相信矯正不只是排列整齊,更是讓笑容回歸自然與自信的美學過程。
綻雅 Zenyum 隱形矯正
專屬數位設計
透過 3D 掃描與 AI 模擬技術,精準規劃矯正過程,預先看到笑容變化。
舒適透明
採用高彈性醫療級材質,輕薄服貼幾乎隱形,配戴時自然不突兀。
安全衛生
每副牙套皆為個人客製、可自行更換,維持口腔衛生更方便。
高效矯正
搭配 Zenyum 智慧監控 App,可隨時追蹤療程進度,提升矯正效率與穩定性。
隱適美的三大優點
治療模擬預測
invisalign隱適美利用數位科技計算,在您的牙齒掃描後由醫師規劃製作一套3D治療方案。您可以看到在使用Invisalign 治療前、中、後的模擬效果。讓治療過程可控制可預測。用科學的方法,精準校正。因此視覺化模擬預測是隱適美的最大優點之一。
精準客製化
隱適美矯正器為每個患者客製化製作,醫師會為您設計治療流程,量身定制定製獨一無二的隱形牙套。按照您的牙齒及矯正規劃訂做每一副隱形矯正器。隱適美牙套矯正器由透明的高分子材料製造,外表近乎透明,牙套厚度更少於1mm,戴上後緊貼牙齒,精準有效地使牙齒移動,產生矯正效果。
舒適無負擔
隱適美隱形牙套舒適無負擔,沒有金屬物質刺激您的牙床和口腔黏膜,可自行摘戴清洗,口腔清潔容易照顧,降低傳統矯正時牙齒不易清潔產生蛀牙的風險。只要摘下牙套即可享受美食,不影響工作、生活,開開心心讓您笑容越來越美麗。
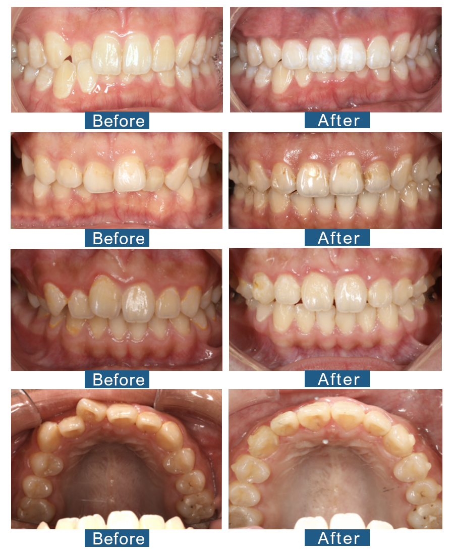
案例分享

了解【台北全瓷貼片價格